お電話でのご予約・お問いあわせ 011-251-8888 友だちを
追加する
診療時間 月-金9:30-17:30/土日祝:不定休

CASE

インビザライン
インビザライン インプラント/オールオン4

インプラントとマウスピース矯正(インビザライン)を組み合わせ症例紹介

GDHインプラントオフィス札幌は、歯がない部分を補うインプラント治療と、歯並びや噛み合わせを整える矯正治療(インビザライン)の両方に対応しています。

そのため、患者さまのお口の状態に合わせて包括的な治療計画を立てることができます。

歯並びだけを整えても、歯が欠損している部分は改善しません。

また、歯並びや噛み合わせを考えずにインプラントを入れてしまうと、長期的な安定につながらないこともあります。

歯並び・噛み合わせ・欠損を総合的に診断し、矯正治療とインプラント治療を組み合わせて治療を行うケースも少なくありません。

今回は、マウスピース矯正「インビザライン」と「インプラント」を組み合わせた症例をご紹介します。

症例の概要

1.術前オルソ

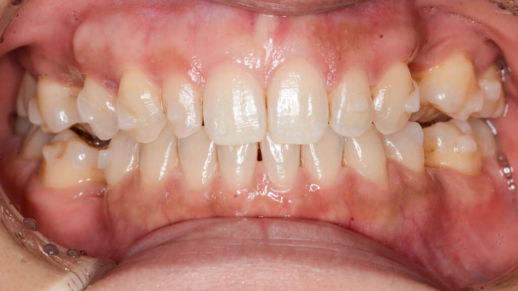
今回の患者さまは、札幌にお住まいの女性です。

先天的に永久歯が欠損している部位があり、本来であれば永久歯に生え変わる部分が、乳歯(E)のまま残っている状態でした。

しかし、その乳歯もすでに機能しておらず、歯ぐきに埋まっているような状態になっていたため抜歯を行うことになりました。

そのため、上下左右に歯が欠損している部分があり、そのスペースをどのように治療するかが大きなポイントとなります。

2.術前正面

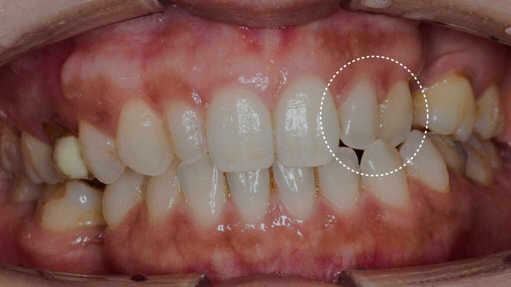
さらに歯並びの問題として、左上の2番・3番の歯が下の歯よりも内側に位置している「クロスバイト(反対咬合)」の状態でした。

4.術前正面クロスバイト

このように、「歯の欠損」「歯並びの問題」「噛み合わせの問題」が複合的に関係しているケースでは、矯正治療とインプラント治療を組み合わせた包括的な治療が必要になります。

セファロ分析(骨格と歯の位置の診断)

5.セファロ分析

当院の矯正治療の診断では、セファロ分析(頭部X線規格写真)を行い、骨格と歯の位置関係を詳細に確認します。

今回の患者さまは特に位置関係など大きな問題はありませんでした。

欠損部分の治療方法

欠損スペースの治療方法についても慎重に検討しました。

欠損しているスペースを矯正治療で閉じる方法もありますが、この症例では以下の問題がありました。

① 歯肉退縮(リセッション)のリスク

後方の歯を前に大きく移動させると、歯ぐきが下がってしまうリスク(リセッション)があります。

② 骨の凹み

欠損部分は長期間歯がない状態だったため、骨が大きくへこんでいる状態でした。

その状態で歯を移動させると、歯肉が中央に寄るため、歯ぐきに谷のような形ができ、審美的な問題が起こる可能性があります。

そのため、倒れ込んでいる歯は矯正治療で起こし、欠損スペースは「ブリッジ」や「インプラント」の人工歯で補うという治療方針としました。

今回はインプラント治療を選択されました。

治療計画

今回の治療はマウスピース矯正(インビザライン)とインプラント治療を組み合わせた包括的治療です。

矯正治療には「インビザライン コンプリヘンシブ」を使用しました。

インプラントと矯正治療を組み合わせる場合、インプラントは矯正しても動かないので注意が必要です。

天然歯は矯正装置によって動かすことができますが、インプラントは骨と結合するため、矯正力をかけても動きません。

そのため、最初にどのような噛み合わせを目指すかという「治療のゴール」を決め、それに向けて治療の順序を考えることが非常に重要になります。

今回の治療の流れは次の通りです。

矯正治療(インビザライン)を開始
まずはマウスピース矯正(インビザライン)をスタートします。

レベリング(歯並びを整える初期の矯正)
レベリング」とは、歯の高さや傾きを整え、歯列をなめらかなアーチ状に整えていく矯正治療の初期段階のことです。

歯が傾いていたり、段差があったりする状態のままでは、正しい位置にインプラントを入れるスペースを確保することができません。

そのため、まず矯正治療で

・傾いている歯を起こす
・歯の高さや位置を整える
・インプラントを入れるためのスペースを正確に作る

といった調整を行います。

インプラントを埋入
歯並びの土台が整った段階で、欠損している部分にインプラントを埋入します。

オッセオインテグレーション(骨結合)の待機期間
インプラントが骨としっかり結合するまで、一定期間待機します。

⑤ 待機期間中に矯正治療で細かい調整
インプラントが骨と結合するまでの期間を利用して、残っている歯の位置や噛み合わせを矯正治療で細かく整えていきます。

⑥ インプラントの上部構造(人工歯)を装着

矯正治療終了(保定)

このように、矯正治療とインプラント治療を計画的に組み合わせることで、歯並び噛み合わせ欠損を総合的に改善することが可能になります。

機能的にしっかり噛めるだけでなく、見た目の自然さや口元のバランスまで考えた治療を行うことができます。

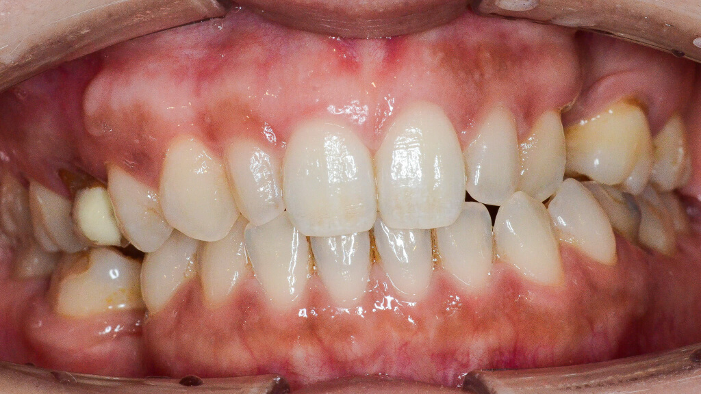
矯正治療開始から約1年後

6.術前正面1年経過

左上1番・2番の歯は、治療前には下の歯より内側に入ってしまうクロスバイト(反対咬合)の状態でしたが、インビザラインによる矯正治療によって歯の位置関係が改善し、かみ合わせも整ってきました。

7.術前左1年経過比較

また、矯正治療によってインプラントを埋入するためのスペースもしっかり確保できたため、このタイミングでインプラントの埋入手術を行います。

矯正治療で歯の位置やスペースを整えてからインプラントを埋入することで、

・インプラントを適切な位置に埋入できる
・噛み合わせを考慮した治療ができる
・見た目も自然な仕上がりになる

といったメリットがあります。

このように、矯正治療とインプラント治療を組み合わせることで、歯並び・噛み合わせ・欠損を総合的に改善することが可能になります。

インプラント埋入

矯正治療によってインプラントを埋入するためのスペースが確保できたため、インプラント埋入手術を行いました。

8.術後オルソ

今回は、上下左右それぞれ1本ずつ、合計4本のインプラントを埋入しています。

上顎については、左右ともに上顎洞(サイナス)までの骨の高さが不足していたため、「Densah® Bur(デンサーバー)」を用いたサイナスリフトを併用しました。

上顎の奥歯の部分は、歯を失った後に骨が吸収されやすく、インプラントを埋入するために必要な骨の高さ(垂直的な骨量)が不足していることがよくあります。

このような場合には、上顎洞(サイナス)という空洞の底を持ち上げて骨を増やす処置である「サイナスリフト」を行い、インプラントを安全に埋入できる骨の高さを確保します。

今回は、Densah® Bur(デンサーバー)という特殊なドリルを使用し、骨を削るのではなく押し広げるように形成することで、骨を温存しながらサイナスリフトを行いました。

これにより、骨への負担を抑えながら、インプラントの初期固定をしっかり確保した状態で埋入することができました。

矯正開始から2年半経過

11.術前術後正面
12.術前術後右
13.術前術後左

インプラントを埋入した後は、インプラントがしっかり結合(オッセオインテグレーション)するまでの待機期間が必要になります。

この期間も治療を止めるわけではなく、患者さまにはマウスピース(インビザライン)を引き続き使用していただき、矯正治療を継続しています。

現在、矯正治療開始から約2年半が経過しており、インプラント部分にはプロビジョナル(仮歯)を装着し、矯正治療で歯並びの細かい微調整を進めています。

矯正治療が完了した段階で、インプラントには最終補綴物としてジルコニアの上部構造を装着し、治療が完了する予定です。

治療内容①マウスピース型矯正装置(インビザライン)による全体矯正
プラン:コンプリヘンシブ
②インプラント4本埋入(上部構造:ジルコニア)
期間30ヶ月経過
料金治療総額:2,817,155円(税込)
※特別割引あり
副作用・リスク①歯根吸収、歯肉退縮、知覚過敏が起こることがあります
②インプラントと骨とが結合しないことがあります

マウスピース矯正(インビザライン)・インプラントによる治療は健康保険適用外の自由診療となります。

LINE相談バナー

インビザラインの症例

もっと見る