インプラントで人生を変えた症例|GDHインプラントオフィス札幌|北海道・札幌
自分の歯を抜いてインプラントにすることに抵抗があるというかたも少なくありません。
ここでは、お顔の掲載のご了承をいただいた患者様の症例をご紹介します。
インプラントをしたら「自分の歯ではなくなる」と不安を抱いているかた、怖くて踏ん切りがつかないと悩まれているかたの一助になればと、掲載のご協力頂きありがとうございます。
みなさん、とても素敵な笑顔です。
これが患者様にとって新しい歯であり、素敵な笑顔こそが本来の姿なのかもしれません。
関連ページ:マウスピース矯正「インビザライン」の症例紹介
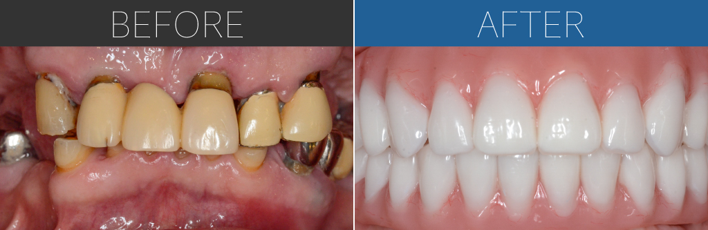
– Upper:All-on-4 + Zygoma + Pterygoid + Wide-Short
– Lower:All-on-4
Age:40s

| 主訴 | 入れ歯を使うと味がしなく食事が美味しくないという理由で、歯がボロボロだけど10年以上入れ歯も使わずに生活されていました。意を決して来院。 |
| 治療内容 | 上顎はザイゴマインプラントにテリゴイド、ワイド・ショートインプラントを含めて8本のインプラントによるオールオン4。下顎は基本的な4本埋入によるオールオン4。上下ともに即時荷重により手術当日に仮歯を固定。 |
– Upper:All-on-4 + Zygoma
– Lower:All-on-4
Age:50s

| 主訴 | オールオン4を知り、「人前で思い切り笑えるようになりたい!」と思い来院。 |
| 治療内容 | 上顎は左側のザイゴマインプラントを含めて5本のインプラントによるオールオン4。下顎は基本的な4本埋入によるオールオン4。上下ともに即時荷重により手術当日に仮歯を固定。 |
– Upper:Implant + invisalign + SinusLift
– Lower:Implant + invisalign
Age:30s

| 主訴 | もともと乳歯のままが4か所あり、2本抜けて、残りも抜けそうなためインプラント検討している。 |
| 治療内容 | マウスピース矯正「インビザライン」とインプラントによる全顎治療。 |
– Upper:All-on-4 Quad Zygoma + Pterygoid implants
– Lower:All-on-4
Age:60s

| 主訴 | 3年前に入れ歯作ったが残っていた歯が抜けて使えなくなった。上の歯もグラグラしており抜けてきそう。入れ歯は安定剤をガッツリつけていないとすぐに落ちてしまい、話しづらいし食べづらい。 |
| 治療内容 | 上顎は全体的に重度の骨吸収のため、4本のザイゴマインプラントによるクワッドザイゴマに加え、両側にテリゴイドインプラントを併用。下顎は基本的な4本埋入によるオールオン4。上下ともに即時荷重により手術当日に仮歯を固定。 |
– Upper:All-on-4 + Zygoma + Pterygoid implants
– Lower:All-on-4
Age:60s

| 治療内容 | 上顎は左側にザイゴマインプラントを加え、両側にテリゴイドインプラントを併用。下顎は基本的な4本埋入によるオールオン4。上下ともに即時荷重により手術当日に仮歯を固定。 |
– Upper:All-on-4 + Zygoma
– Lower:All-on-4
Age:60s

| 治療内容 | 差し歯が合わなくなってきて、歯茎に痛みを感じて来院。重度歯周病のため、上顎は通常の埋入が難しくザイゴマインプラント。下顎は基本的な4本埋入によるオールオン4。上下ともに即時荷重により手術当日に仮歯を固定。 |
– Upper:All-on-4 + Zygoma
– Lower:All-on-4
Age:40s

| 治療内容 | 重度歯周病のため、上顎は右側は通常の埋入が難しくザイゴマインプラント。下顎は基本的な4本埋入によるオールオン4。上下ともに即時荷重により手術当日に仮歯を固定。 |
– Upper:All-on-4 + Zygoma
– Lower:All-on-4
Age:40s

| 主訴 | 歯並びも悪く、オールオン4で見た目も良くしたい |
| 治療内容 | 上顎は左右ともにザイゴマインプラント。下顎は基本的な4本埋入によるオールオン4。上下ともに即時荷重により手術当日に仮歯を固定。 |
– Upper:All-on-4
– Lower:All-on-4
Age:40s

| 主訴 | 全体的に虫歯があり、歯がボロボロ。 |
| 治療内容 | 上下顎ともに基本的な4本埋入によるオールオン4。上下ともに即時荷重により手術当日に仮歯を固定。 ※写真は手術当日の仮歯(プロビジョナル) |
– Upper:All-on-4 + Zygoma
– Lower:All-on-4
Age:40s

| 治療内容 | 上顎は左右ともにザイゴマインプラント。下顎は基本的な4本埋入によるオールオン4。上下ともに即時荷重により手術当日に仮歯を固定。 |
– Upper:All-on-4
– Lower:All-on-4
Age:40s

| 主訴 | 全体的に歯の状態が悪く、左上奥と前歯が痛む。 |
| 治療内容 | 上顎、下顎ともに基本的な4本埋入によるオールオン4。上下ともに即時荷重により手術当日に仮歯を固定。 |
– Upper:All-on-4
– Lower:All-on-4
Age:40s

| 主訴 | 入れ歯を使っているが食事がうまくできなくストレス |
| 治療内容 | 上下顎ともに基本的な4本埋入によるオールオン4。上下ともに即時荷重により手術当日に仮歯を固定。 |
– Upper:All-on-4
– Lower:All-on-4
Age:40s

| 主訴 | 歯がボロボロ。入れ歯を使っている。食べるのがつらい |
| 治療内容 | 上顎は2本追加して6本埋入によるオールオン4。下顎は基本的な4本埋入によるオールオン4。上下ともに即時荷重により手術当日に仮歯を固定。 |
– Upper:All-on-4
– Lower:All-on-4
Age:40s

| 主訴 | 2年くらい前に上だけ部分入れ歯を作ったが合わなくて使っていなかった。そのうち歯が揺れ始めて自然と抜け落ちた。しっかり噛めるようになりたい。 |
| 治療内容 | 上顎、下顎ともに骨質がよく基本的な4本埋入によるオールオン4。右下の5番目の埋伏歯も同時に抜歯。上下ともに即時荷重により手術当日に仮歯を固定。 |
– Upper:All-on-4
– Lower:All-on-4
Age:50s

| 主訴 | 上下とも入れ歯になると言われてインプラント希望で来院。 |
| 治療内容 | 上顎、下顎ともに基本的な4本埋入によるオールオン4。上下ともに即時荷重により手術当日に仮歯を固定。 |
– Upper:All-on-4
– Lower:All-on-4
Age:40s

| 主訴 | 全体的に歯周病で歯がグラグラ。 |
| 治療内容 | 上顎・下顎ともに基本的な4本埋入によるオールオン4。上下ともに即時荷重により手術当日に仮歯を固定。 |
– Upper:All-on-4
– Lower:Implant + Zirconia crowns
Age:30s

| 主訴 | 歯茎が腫れ、痛みで眠れないと来院。 |
| 治療内容 | 上顎は基本的な4本埋入によるオールオン4。即時荷重により手術当日に仮歯を固定。下顎は歯内療法後にジルコニアクラウン、奥歯に1本のインプラント埋入。 |
– Upper:All-on-4
– Lower:Zirconia crowns
Age:50s

| 主訴 | 他院で入れたインプラントに入れ歯を引っ掛けて使っていたが、最近インプラントの上部が壊れてしまって入れ歯も使えなくなった。 |
| 治療内容 | 上顎だけ基本的な4本埋入によるオールオン4。手術したその日に即時荷重により仮歯を固定。 |
– Upper:All-on-4 + Zygoma
Age:50s

| 主訴 | 前歯しか残ってなくいよいよ限界だと思った。 |
| 治療内容 | 予算の関係で上だけオールオン4。上顎の左右とも5番の位置から傾斜埋入する骨量が足りないためザイゴマインプラント。手術当日に即時荷重により仮歯を固定。 |
– Upper:All-on-4
– Lower:All-on-4
Age:70s

| 治療内容 | 上顎、下顎ともに基本的な4本埋入によるオールオン4。上下ともに即時荷重により手術当日に仮歯を固定。 |
– Upper:All-on-4
– Lower:All-on-4
Age:50s

| 主訴 | 虫歯と歯周病でボロボロ・グラグラ。残っている歯が抜けそう。部分入れ歯を使っていたが食事が不便になってきて来院。普通に話したり、ご飯を食べられるようになりたい。 |
| 治療内容 | 上顎、下顎ともに基本的な4本埋入によるオールオン4。上下ともに即時荷重により手術当日に仮歯を固定。 |
– Upper:All-on-4
– Lower:All-on-4
Age:40s

| 主訴 | 全体的に虫歯でボロボロ。前歯がグラついていて、噛むと少し痛い。歯がなくて笑えない。昔、部分入れ歯を作ったことがあるが嘔吐反射があり、つけられなかった。 |
| 治療内容 | 上顎、下顎ともに基本的な4本埋入によるオールオン4。上下ともに即時荷重により手術当日に仮歯を固定。 |
GDHインプラントオフィス札幌のインプラント治療体制

GDHインプラントオフィス札幌では、越前谷院長を筆頭にインプラント治療に特化した歯科医師とスタッフが連携し、専門性の高いチーム医療体制のもとで治療を行っています。
当院のインプラント体制をご紹介します。
全国の歯科医師を「指導」
インプラントメーカー主催セミナーでの講師依頼、オールオン4やザイゴマインプラント治療の臨床セミナーを主催し、全国の歯科医師にインプラント治療の技術を指導しています。
「専門家」によるワンチーム体制
インプラント治療に必要な「手術・麻酔・補綴・技工・予防」を各専門家が連携し、一貫したワンチーム体制で質の高い治療を提供します。
難症例の受け入れ機関
当院は、他の歯科医院で対応が難しかった症例も受け入れます。当院には「難症例」という言葉はありません。どのようなケースでも、適切な対応方法を見つけ出し、治療を進めていきます。
「大学病院以上」のオペ環境
安全性と成功率を高めるために、一部の大学病院や大規模病院にしか導入されていない先進的な手術室です。
インプラント担当医の紹介
当院は年間に1,000本以上のインプラントの埋入手術を行っており、移植や骨造成術なども含めて、これまでインプラントに関する手術の実績は多数ある歯科医院です。
インプラント治療はインプラント体(フィクスチャー)を埋入する「手術」を行った後に上部構造を装着する「補綴」を行います。
そのため、インプラント治療の成功には、「手術」と「補綴」の2つの分野の専門家が必要不可欠です。
GDHインプラントオフィス札幌は国際的なインプラント学会の指導医(手術の専門家)と日本補綴歯科学会の指導医(補綴の専門家)が在籍しています。

越前谷 澄典
歯科医師/歯学博士
医療法人社団スマイルオフィスデンタルクリニック 理事長
GDHインプラントオフィス札幌 院長
北海道医療大学歯学部卒業。
多数歯欠損や骨量不足などの難症例に対するインプラント治療を専門とし、年間1,000本以上の埋入実績を有する。
オールオン4・ザイゴマインプラントのライブオペセミナーを通じ、全国の歯科医師への教育活動にも取り組んでいる。

患者様に合わせてインプラントメーカーをチョイス

インプラント製品は種類が非常に多く、日本国内で流通しているものだけでも数多くのメーカーが存在するといわれています。さらに海外製品や個人輸入品まで含めると、その選択肢は数百種類に及ぶこともあり、どのインプラントを使用するかは歯科医院ごとに異なります。
GDHインプラントオフィス札幌では、特定のインプラントメーカーに限定するのではなく、患者さま一人ひとりのお口の状態や骨の状態、治療内容に応じて、最適と考えられるインプラントメーカーを選択しています。
画一的な治療ではなく、それぞれの症例に合わせた柔軟な判断を行うことで、長期的な安定性と安全性を重視したインプラント治療を大切にしています。
痛みや恐怖心を感じさせない「睡眠無痛治療」

静脈内鎮静法を用いることで、治療中はうとうとと眠っているようなリラックスした状態で過ごすことができます。
治療中の痛みや音、雰囲気への不安が軽減され、「気がついたら治療が終わっていた」と感じられる方も少なくありません。歯科治療に対する恐怖心が強い方にとって、精神的な負担を抑えられる方法です。
このような方におすすめです
- 歯科治療に強い不安や恐怖を感じる方
- 嘔吐反射が強く、治療がつらいと感じている方
- できるだけストレスなく治療を受けたい方
当院のオールオン4治療では、睡眠無痛治療(静脈内鎮静法)を併用して手術を行っています。
睡眠無痛治療の解説ページで詳しく説明していますので、気になる方はお読みください。
安心の長期保証

メンテナンスを受けていたにも関わらず、当院で埋入したインプラントが抜けてしまった場合、インプラントの再埋入にかかる手術費用は無償で行わせて頂いています。
骨造成が必要な場合は実費負担となり、上部構造は保証対象外となりますので、上部構造の保証をご希望のかたは第三者保証機関であるインプラント保証サービス「ガイドデント」による上部構造も含めた10年保証をご案内しております。
料金体系
| インプラントの手術料金 | 税込 462,000円〜(月額4,655円〜も可) |
※上記は初診料、CT検査、血液検査、歯周病PCR検査、⼿術費⽤(局所⿇酔、投薬)、インプラント1本、アバットメント、最終補綴物、最終補綴物装着までの経過観察費⽤、ホームケアグッズ、治癒期間中に骨結合しない場合の再⼿術費⽤全てが含まれます。
※分割払いはデンタルローン利用となり、審査が必要となります。



